Journal of Jilin University(Medicine Edition) ›› 2026, Vol. 52 ›› Issue (1): 252-256.doi: 10.13481/j.1671-587X.20260127

• Clinical medicine • Previous Articles     Next Articles

46, XX male sex reversal syndrome:A case report and literature review

Lei SUN,Yong YU,Xiaojun LIU(),Sheng MIAO()   

  1. Reproductive Medicine Center,China-Japan Union Hospital,Jilin University,Changchun 130033,China
  • Received:2025-01-09 Accepted:2025-05-21 Online:2026-01-28 Published:2026-02-24
  • Contact: Xiaojun LIU,Sheng MIAO E-mail:l_xj@jlu.edu.cn;miaosheng@jlu.edu.cn

Abstract:

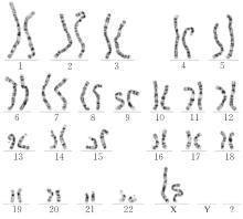
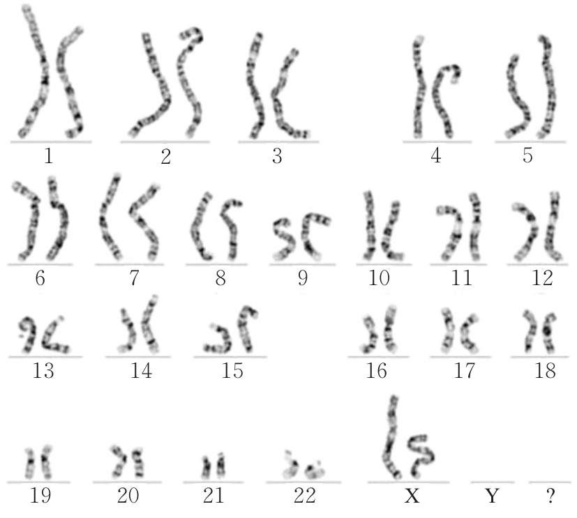
46,XX male sex reversal syndrome (SRS) is a rare genetic disorder characterized by abnormal sex development. This article reported the clinical manifestations and auxiliary examination data of a patient with 46,XX male SRS. The patient, an 18-year-old with male social gender, had no history of medication, allergies, or family genetic diseases. He presented to the Reproductive Medicine Center of our hospital due to “mild gynecomastia”. The patient exhibited a male phenotype. The physical examination results revealed absence of beard, an inconspicuous Adam’s apple, absence of axillary hair, mild breast development, sparse pubic hair, and poorly developed external genitalia. The penile length in the flaccid state was approximately 4 cm; bilateral testes were slightly hard in texture, with volumes each approximately 2 mL. The semen analysis results showed that two consecutive routine semen examinations showed no sperm. The sex hormone tests results showed that follicle-stimulating hormone (FSH) 31.41 IU·L-1, luteinizing hormone (LH) 22.61 IU·L-1, testosterone (T) 1.04 μg·L-1, estradiol (E2) 21.39 ng·L-1, prolactin (PRL) 16.46 μg·L-1. The breast color ultrasound results suggested glandular echoes deep to the nipples of both breasts, with the thicker part on the left approximately 1.48 cm and on the right approximately 1.41 cm. The male reproductive system color ultrasound examination results indicated the left testis size was 1.58 cm×1.20 cm×0.77 cm and the right testis size was 1.58 cm×1.26 cm×0.78 cm. Karyotype (high-resolution G-banding 550 bands) was 46,XX. The Y chromosome microdeletion testing results showed deletions in the a+b+c regions of the azoospermia factor (AZF) on the Y chromosome. The detection sites sY84, sY86, sY127, sY134, sY254, and sY255 were all missing. The fluorescence in situ hybridization (FISH) analysis results showed a cryptic translocation of the sex-determining region Y (SRY) gene at the terminus of the short arm of one of the patient’s X chromosomes. The authors of this article discussed the clinical manifestations and auxiliary examination data of this case of 46,XX male SRS, which can provide the reference for improving the clinical understanding, diagnosis, and treatment level of 46,XX male SRS among clinical practitioners.

Key words: Sex reversal syndrome, 46,XX male, Y chromosome microdeletion, External genitalia, Case report

CLC Number: 

  • R588