吉林大学学报(医学版) ›› 2025, Vol. 51 ›› Issue (6): 1702-1708.doi: 10.13481/j.1671-587X.20250627

• 临床医学 • 上一篇    

青少年DICER1突变阳性的复发性滤泡亚型甲状腺乳头状癌1例报告及文献复习

敖倩,李婧婷,梁楠,孙辉()   

  1. 吉林大学中日联谊医院甲状腺外科 吉林省甲状腺疾病重点实验室 吉林省甲状腺疾病防治工程 实验室,吉林 长春 130033
  • 收稿日期:2025-05-24 接受日期:2025-06-24 出版日期:2025-11-28 发布日期:2025-12-15
  • 通讯作者: 孙辉 E-mail:s_h@jlu.edu.cn
  • 作者简介:敖 倩(1999-),女,内蒙古自治区呼伦贝尔市人,在读硕士研究生,主要从事甲状腺疾病基础和临床方面的研究。
  • 基金资助:
    吉林省卫健委科研人才专项(2024SCZ88);吉林大学中日联谊医院青年支持计划项目(2024qnpy05)

Recurrent follicular variant of papillary thyroid carcinoma with DICER1 mutation in adolescent:A case report and literature review

Qian AO,Jingting LI,Nan LIANG,Hui SUN()   

  1. Department of Thyroid Surgery,China-Japan Union Hospital of Jilin University,Jilin Provincial Key Laboratory of Thyroid Disease,Jilin Provincial Engineering Laboratory of Thyroid Disease Prevention and Control,Changchun 130033,China
  • Received:2025-05-24 Accepted:2025-06-24 Online:2025-11-28 Published:2025-12-15
  • Contact: Hui SUN E-mail:s_h@jlu.edu.cn

摘要:

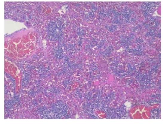
滤泡亚型甲状腺乳头状癌(FVPTC)多见于中青年女性,儿童及青少年病例较为罕见。FVPTC主要驱动基因为RAS癌基因家族或B-Raf原癌基因丝氨酸/苏氨酸蛋白激酶(BRAF),DICER1基因突变在该亚型中少有报道。本文作者报道1例青少年DICER1突变阳性的复发性FVPTC病例,旨在为FVPTC的临床诊治提供参考。患者,女性,19岁,5年前因甲状腺结节行甲状腺全切术和中央组淋巴结清扫术,病理诊断为甲状腺恶性潜能未定的滤泡性肿瘤(FT-UMP),术后未遵医嘱规律行促甲状腺激素(TSH)抑制治疗及复查。2个月前,患者因颈部淋巴结肿大来院就诊,影像学提示肿瘤复发并伴双肺及椎骨转移,多基因检测提示DICER1基因突变。综合多学科会诊意见后行双侧颈淋巴结清扫术,术后病理明确诊断为转移型FVPTC。临床医生应关注FVPTC患者DICER1等罕见基因突变,对于青少年患者应重视随访和制订个体化治疗方案,实现肿瘤早期识别和精准干预,改善患者的长期预后。

关键词: 滤泡亚型甲状腺乳头状癌, DICER1基因, 多学科会诊, 青少年, 病例报告

Abstract:

Follicular variant of papillary thyroid carcinoma (FVPTC) is commonly found in young and middle-aged women, and cases in children and adolescents are relatively rare. The main driving genes of FVPTC are the RAS oncogene family or B-Raf proto-oncogene serine/threonine protein kinase (BRAF), and DICER1 gene mutation is rarely reported in this subtype. This article reports a case of recurrent FVPTC with positive DICER1 mutation in an adolescent, aiming to provide reference for the clinical diagnosis and treatment of FVPTC. The patient, a 19-year-old female, underwent total thyroidectomy and central lymph node dissection due to thyroid nodules 5 years ago, and was pathologically diagnosed with follicular tumor of uncertain malignant potential (FT-UMP); after surgery, the patients did not regularly undergo thyroid-stimulating hormone (TSH) suppression therapy and follow-up as instructed. Two months ago, the patient visited the hospital due to enlarged cervical lymph nodes, imaging suggested tumor recurrence with metastases to both lungs and vertebrae, and multigene testing indicated a DICER1 gene mutation. After comprehensive multidisciplinary consultation, bilateral cervical lymph node dissection was performed, and postoperative pathology confirmed the diagnosis of metastatic FVPTC. Te clinicans should focus on rare gene mutations such as DICER1 in the FVPTC patients, and for adolescent patients, follow-up and formulation of individualized treatment plans should be emphasized to achieve early tumor identification and precise intervention, and improve the long-term prognosis of patients.

Key words: Follicular variant of papillary thyroid carcinoma, DICER1 gene, Multidisciplinary consultation, Adolescent, Case report

中图分类号: 

  • R736.1