Journal of Jilin University(Medicine Edition) ›› 2026, Vol. 52 ›› Issue (1): 81-92.doi: 10.13481/j.1671-587X.20260109

• Research in basic medicine • Previous Articles     Next Articles

Inhibitory effect of inhibition of miR-17-5p on proliferation of spinal cord astrocytes of rats induced by scratch injury through targeting Mfn2 expression

Yan ZHAO,Huawei WU()   

  1. Department of Neurosurgery,Fourth Hospital,Wuhan City,Hubei Province,Wuhan 430033,China
  • Received:2025-04-08 Accepted:2025-05-24 Online:2026-01-28 Published:2026-02-24
  • Contact: Huawei WU E-mail:coordinate999@163.com

Abstract:

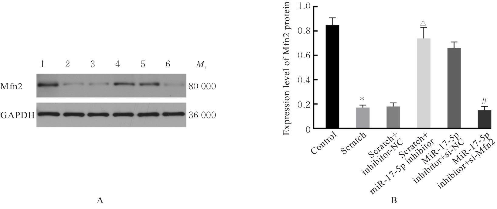
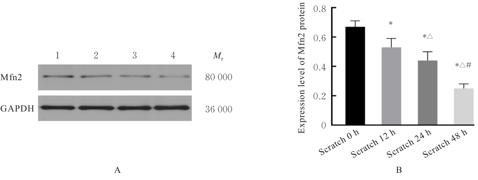
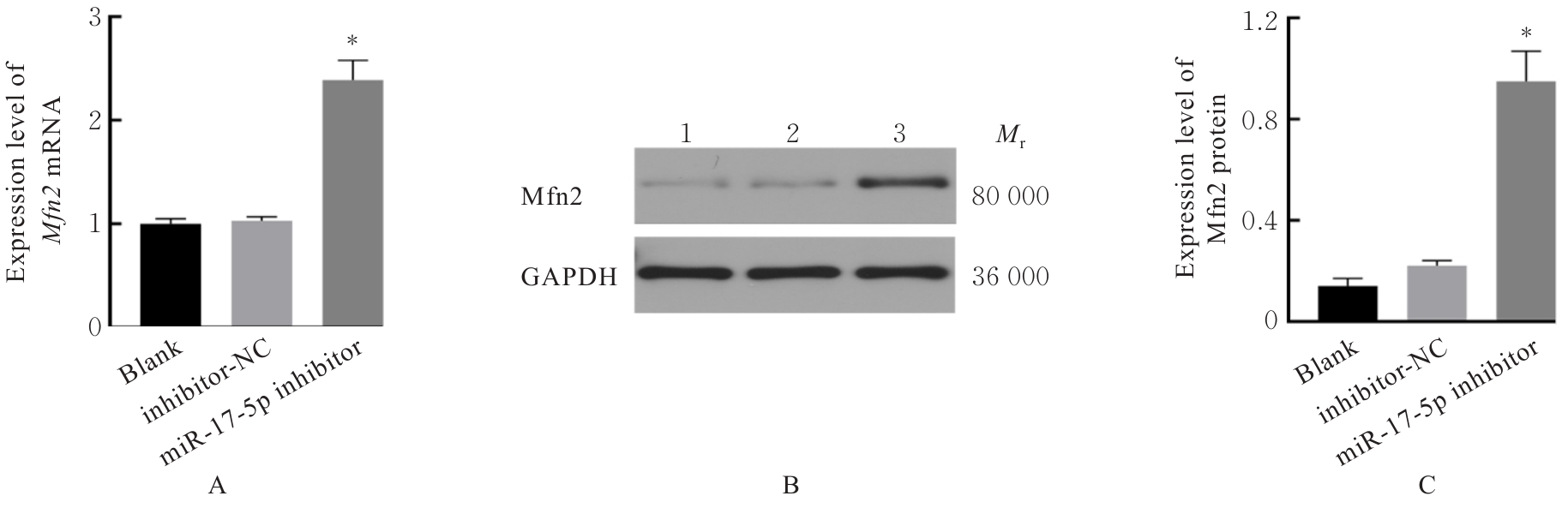
Objective To discuss the effect of inhibiting micro RNA(miR)-17-5p on scratch injury-induced proliferation of rat astrocytes and to clarify its mechanism. Methods The astrocytes were isolated and cultured primarily from rat spinal cord tissue. MiR-17-5p inhibitor and its negative control (inhibitor-NC), and mitofusin 2 (Mfn2) interfering plasmid (si-Mfn2) and its negative control (si-NC) were transfected into rat spinal cord astrocytes. An in vitro mechanical injury-induced astrocyte proliferation model was established using the scratch method. Astrocytes were divided into control group (no treatment), Scratch group (scratch treatment), Scratch+inhibitor-NC group (transfected with inhibitor-NC then scratch treatment), and Scratch+miR-17-5p inhibitor group (transfected with miR-17-5p inhibitor then scratch treatment); and also into blank group (no treatment), inhibitor-NC group (transfected with inhibitor-NC), miR-17-5p inhibitor group (transfected with miR-17-5p inhibitor), miR-17-5p inhibitor+si-NC group (co-transfected with miR-17-5p inhibitor and si-NC then scratch treatment), and miR-17-5p inhibitor+si-Mfn2 group (co-transfected with miR-17-5p inhibitor and si-Mfn2 then scratch treatment). Cell scratch healing assay was used to detect the scratch healing rates at different time points; real-time fluorescence quantitative PCR (RT-qPCR) method was used to detect the miR-17-5p and Mfn2 mRNA expression levels in the cells in various groups; Western blotting method was used to detect the protein expression levels of Mfn2, glial fibrillary acidic protein (GFAP), proliferating cell nuclear antigen (PCNA), and proliferation marker protein Ki-67 in the cells in various groups; immunofluorescence method was used to detect the expression of GFAP and Ki-67 in the cells in various groups; 5-bromo-2'-deoxyuridine (BrdU) assay was used to detect the proliferation of cells in various groups; the dual-luciferase reporter gene assay were used to verify the targeted regulatory relationship between Mfn2 and miR-17-5p. Results The cell scratch healing assay results showed that as the scratch injury time (0, 12, 24, and 48 h) increased, the scratch healing rate of spinal cord astrocytes of the rats was was increased (P<0.05) in a time-dependent manner. The RT-qPCR and Western blotting results showed that compared with Scratch 0 h group, the miR-17-5p expression level and the protein expression levels of GFAP, PCNA, and Ki-67 in astrocytes in Scratch 12, 24, and 48 h groups were increased (P<0.05), while the Mfn2 protein expression level was decreased (P<0.05) in a time-dependent manner; compared with Control group, the GFAP and Ki-67 protein expression levels in astrocytes in Scratch group were increased (P<0.05), while the Mfn2 protein expression level was decreased (P<0.05); compared with Scratch group, the GFAP and Ki-67 protein expression levels in astrocytes in Scratch+miR-17-5p inhibitor group were decreased (P<0.05), while the Mfn2 protein expression level was increased (P<0.05); compared with blank group, the miR-17-5p expression level in astrocytes in miR-17-5p inhibitor group was decreased (P<0.05), while the Mfn2 mRNA and protein expression levels were increased (P<0.05); compared with Scratch+miR-17-5p inhibitor group, the Mfn2 protein expression level in astrocytes in miR-17-5p inhibitor+si-Mfn2 group was decreased (P<0.05). The immunofluorescence assay results showed that compared with control group, the numbers of GFAP and Ki-67 co-localized astrocytes in Scratch group was increased (P<0.05); compared with Scratch group, the number of GFAP and Ki-67 co-localized astrocytes in scratch+miR-17-5p inhibitor group was decreased (P<0.05); compared with Scratch+miR-17-5p inhibitor group, the number of GFAP and Ki-67 co-localized astrocytes in miR-17-5p inhibitor+si-Mfn2 group was increased (P<0.05). The BrdU assay results showed that compared with control group, the BrdU positive expression rate in the astrocytes in Scratch group was increased (P<0.05); compared with scratch group, the BrdU positive expression rate in astrocytes in Scratch+miR-17-5p inhibitor group was decreased (P<0.05); compared with scratch+miR-17-5p inhibitor group, the BrdU positive expression rate in astrocytes in miR-17-5p inhibitor+si-Mfn2 group was increased (P<0.05). The dual-luciferase reporter gene assay results showed that there was a binding site between miR-17-5p and the 3'UTR region of Mfn2 mRNA, and Mfn2 is a downstream target gene of miR-17-5p. Conclusion The miR-17-5p expression level in rat spinal cord astrocytes is significantly increased after scratch injury, and cell proliferation activity is increased. Inhibition of miR-17-5p suppresses the proliferation of astrocytes induced by scratch injury by targeting and upregulating Mfn2 expression.

Key words: Astrocyte, Scratch injury, Cell proliferation, MicroRNA-17-5p, Mitofusin 2

CLC Number: 

  • R681.5