Journal of Jilin University(Medicine Edition) ›› 2026, Vol. 52 ›› Issue (1): 162-170.doi: 10.13481/j.1671-587X.20260117

• Research in basic medicine • Previous Articles     Next Articles

Protective effect of Liangge powder on LPS-induced acute lung injury and its mechanism

Xin YU1,Zheng DONG2,Yin ZHANG1,Xianglong CAI1,Liangliang LIU1,Na SUN1,Wenbo NIU3,Lei YANG4,Wenjie YANG5()   

  1. 1.Department of Respiratory and Critical Care Medicine,Characteristic Medical Center of Chinese People’s Armed Police Forces,Tianjin 300162,China
    2.Department of Internal Medicine,Tianjin Armed Police Corps Hospital,Tianjin 300162,China
    3.Comprehensive Technical Service Center of Jinzhou Customs,Jinzhou 121013,China
    4.Tianjin Key Laboratory of Acute Abdomen Disease Associated Organ Injury and ITCWM Repair,Tianjin Nankai Hospital,Tianjin,300100,China
    5.Department of Infection,First Central Hospital,Tianjin City,Tianjin 300190,China
  • Received:2025-01-21 Accepted:2025-03-31 Online:2026-01-28 Published:2026-02-24
  • Contact: Wenjie YANG E-mail:yangm8006@sina.com

Abstract:

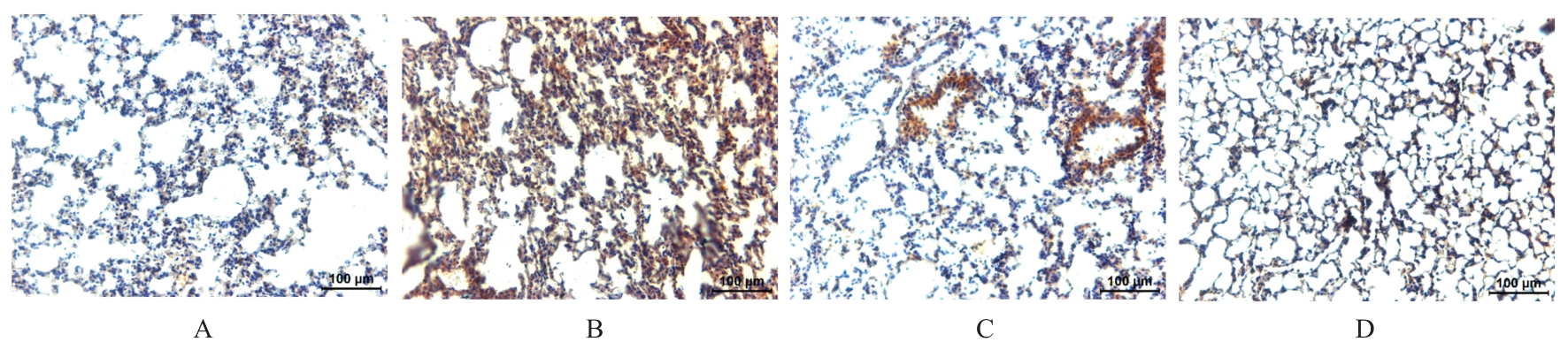
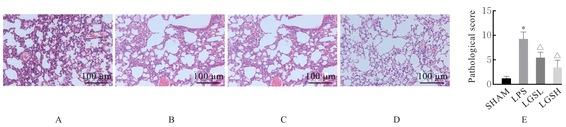
Objective To discuss the protective effect of Liangge Powder (LGS) on lipopolysaccharide (LPS)-induced acute lung injury (ALI), and to clarify its mechanism. Methods Forty male C57BL/6 mice were randomly divided into sham operation group (SHMA group), model group (LPS group), low dose of LGS group (LGSL group, 8.58 g·kg?1 LGS), and high dose of LGS group (LGSH group, 17.16 g·kg?1 LGS), with 10 mice in each group. The mice in LPS group, LGSL group, and LGSH group were intratracheally instilled with LPS to induce the ALI model, and samples were taken 24 h after modeling. HE staining was used to observe the pathomorphology of lung tissue of the mice in various groups and to perform the pathological scores; flow cytometry was used to detect the percentages of neutrophils and epithelial cells in lung tissue of the mice in various groups; immunohistochemistry staining assay was used to detect the level of myeloperoxidase (MPO) in lung tissue of the mice in various groups; enzyme-linked immunosorbent assay (ELISA) was used to detect the levels of related inflammatory mediators interleukin-18 (IL-18), interleukin-1β (IL-1β), and albumin in bronchoalveolar lavage fluid of the mice in various groups; Western blotting method was used to detect the expression levels of high mobility group box 1 (HMGB1), NLR family pyrin domain containing 3 (NLRP3), cysteinyl aspartate specific proteinase-1 (Caspase-1), and gasdermin D (GSDMD) proteins in lung tissue of the mice in various groups. Results The HE staining results showed that compared with SHMA group, the pathological injury of lung tissue of the mice in LPS group was aggravated, and the pathological score was significantly increased (P<0.05); compared with LPS group, the pathological scores of lung tissue of the mice in LGSL group and LGSH group were significantly decreased (P<0.05). The flow cytometry results showed that compared with SHMA group, the percentage of neutrophils in lung tissue of the mice in LPS group was increased (P<0.05), and the percentage of epithelial cells was decreased (P<0.05); compared with LPS group, the percentages of neutrophils in lung tissue of the mice in LGSL group and LGSH group were decreased (P<0.05), and the percentages of epithelial cells were increased (P<0.05). The immunohistochemistry staining results showed that compared with SHMA group, the MPO level in lung tissue of the mice in LPS group was significantly increased (P<0.05); compared with LPS group, the MPO levels in lung tissue of the mice in LGSL group and LGSH group were significantly decreased (P<0.05). The ELISA results showed that compared with SHMA group, the levels of IL-1β, IL-18, and albumin in bronchoalveolar lavage fluid of the mice in LPS group were significantly increased (P<0.05); compared with LPS group, the levels of IL-1β, IL-18, and albumin in bronchoalveolar lavage fluid of the mice in LGSL group and LGSH group were significantly decreased (P<0.05). The Western blotting results showed that compared with SHMA group, the expression levels of HMGB1, NLRP3, Caspase-1, and GSDMD proteins in lung tissue of the mice in LPS group were significantly increased (P<0.01); compared with LPS group, the expression levels of HMGB1, NLRP3, Caspase-1, and GSDMD proteins in lung tissue of the mice in LGSL group and LGSH group were significantly decreased (P<0.05). Conclusion LGS can alleviate LPS-induced pathological lung injury and inflammatory response by reducing neutrophil infiltration and epithelial cell pyroptosis, and its mechanism may be related to the down-regulation of NLRP3, Caspase-1, and GSDMD protein expressions through the HMGB1 signaling pathway.

Key words: Liangge San, Acute lung injury, Pyroptosis, NOD-like receptor protein 3, Cysteinyl aspartate specific proteinase-1, Gasdermin D

CLC Number: 

  • R285.5