Journal of Jilin University(Medicine Edition) ›› 2026, Vol. 52 ›› Issue (2): 384-390.doi: 10.13481/j.1671-587X.20260210

• Research in basic medicine • Previous Articles    

Inhibitory effect of persistent rotavirus SA11 gastrointestinal infection on intestinal inflammation in mice with IL-10 gene knockout

Yishuo HU1,Changcheng LIU2,Yang LIU1,Xuejiao JIA1,Mengqi LIU1,Tongtong SONG1,Han GUO1,Wei ZHAO1,3()   

  1. 1.Laboratory of Pathogen Biology,Basic Medical College,Jinzhou Medical University,Jinzhou 121000,China
    2.Department of Clinical Laboratory,Liaoning Cancer Hospital & Institute,Shenyang 110042,China
    3.Liaoning Provincial Key Laboratory of Human Phenome Research,Jinzhou 121000,China
  • Received:2024-03-12 Accepted:2025-07-23 Online:2026-03-28 Published:2026-04-15
  • Contact: Wei ZHAO E-mail:zhaowei-v@jzmu.edu.cn

Abstract:

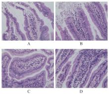
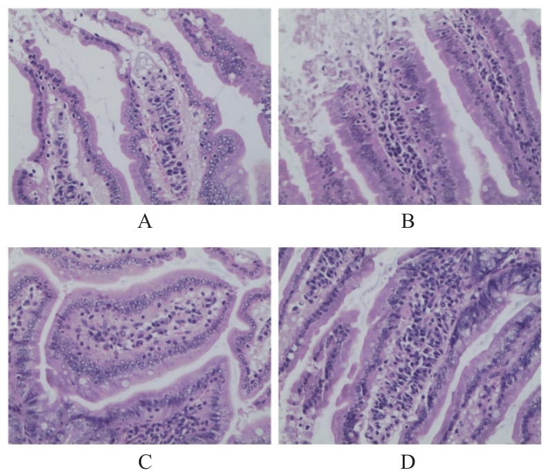
Objective To investigate the dynamic regulatory effects of persistent infection with rotavirus (RV) strain SA11 on intestinal inflammation in interleukin-10(IL-10) gene-deficient (IL-10-/-) mice, and to elucidate its underlying mechanism. Methods The monkey embryonic kidney MA104 cells were routinely cultured. The indirect immunofluorescence assay was used to detect the viral titer of SA11 in MA104 cells. A total of 20 SPF wild-type C57BL/6 (WT-B6) mice were selected as control group, while twenty IL-10 gene knockout C57BL/6 mice (IL-10?/?-B6) were assigned to experimental group. A persistent infection model was established by daily oral gavage with 1×10? FFU·mL?1 SA11 suspension for 42 consecutive days. Both fecal and intestinal tissue samples were collected from the mice in two groups weekly. Real-time fluorescence quantitative PCR(RT-qPCR) method was used to detect the copy numbers of the RV capsid protein VP6 gene in feces and the expression levels of interleukin-1β (IL-), tumor necrosis factor-α (TNF-α), and transforming growth factor-β (TGF-β) mRNA in colorectal tissues of the mice in two groups. HE staining was used to observe the histopathological morphology of duodenal and jejunal tissues of the mice in two groups. Results The indirect immunofluorescence assay determined the titer of the SA11 virus to be 1×10? FFU·mL?1. During the first 21 days of persistent RV infection, the VP6 gene copy numbers in the feces of the mice in both IL-10?/?-B6 and WT-B6 groups remained at low levels, with no statistically significant difference between two groups(P>0.05). After 28 d of persistent infection, compared with WT-B6 group, the copy number of VP6 gene in the feces of the mice in IL-10?/?-B6 group was significantly increased(P<0.05). Compared with the status before infection, the expression levels of IL- and TGF-α mRNA in the colorectal tissues of the mice in WT-B6 group after RV infection were significantly increased (P<0.001), the expression levels of IL- and TGF-α mRNA in IL-10?/?-B6 group were significantly decreased (P<0.001), and the expression levels of TGF-β mRNA in both groups were significantly increased(P<0.001). Conclusion Persistent gastrointestinal infection with RV strain SA11 may alter the intestinal immune microenvironment in the IL-10?/? mice,manifested by downregulated expression of IL- and TNF-α and upregulated expression of TGF-β in colorectal tissue, thereby alleviating intestinal inflammation. This regulatory network suggests that RV may influence the progression of intestinal inflammation by reshaping the intestinal immune balance.

Key words: Rotavirus, Interleukin 10, Gene knockout, Cytokine, Gastrointestinal infection

CLC Number: 

  • R373.2