Journal of Jilin University(Medicine Edition) ›› 2026, Vol. 52 ›› Issue (2): 523-529.doi: 10.13481/j.1671-587X.20260225

• Clinical medicine • Previous Articles    

SMARCB1/INI1-deficient undifferentiated pancreatic carcinoma: A case report and literature review

Zhongwei ZHOU1,Wei DU2,Yu NING1,Jing YU3,Fengyou GUO2,Xueliang YANG1()   

  1. 1.Department of General Surgery,Affiliated Hospital,Beihua University,Jilin 132012,China
    2.Department of Pathology,Affiliated Hospital,Beihua University,Jilin 132012,China
    3.Department of Endocrinology,Affiliated Hospital,Beihua University,Jilin 132012,China
  • Received:2025-06-12 Accepted:2025-07-29 Online:2026-03-28 Published:2026-04-15
  • Contact: Xueliang YANG E-mail:13943243777@139.com

Abstract:

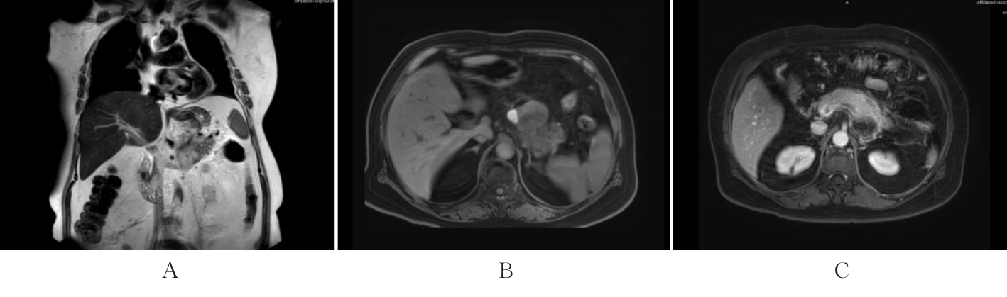
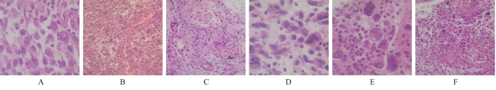
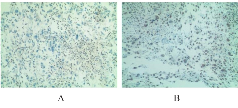
Switch/sucrose non-fermentable (SWI/SNF)-related matrix-associated actin-dependent regulator of chromatin subfamily B member 1 (SMARCB1)/integrase interactor 1 (INI1) (SMARCB1/INI1)-deficient undifferentiated pancreatic carcinoma (UPC) is an extremely rare special type of pancreatic cancer. This article reported the clinical manifestations, auxiliary examinations, diagnosis, and treatment of a patient with SMARCB1/INI1-deficient UPC, and reviewed the relevant literature. The patient, a 65-year-old female, was admitted due to intermittent upper abdominal pain for more than one month, aggravated with nausea and vomiting for 9 d. The abdominal CT scan performed at another hospital suggested a pancreatic space-occupying lesion. The physical examination results on admission revealed upper abdominal tenderness, without rebound tenderness or muscle guarding. The laboratory tests results showed a carbohydrate antigen 199 (CA199) level of 50.58 U·mL-1 and a fasting blood glucose level of 9.98 mmol·L-1. The abdominal MRI results revealed a mixed cystic and solid abnormal signal in the pancreatic body and tail, showing irregular extraluminal protrusion; it appeared as a slightly hypointense signal on T1-weighted imaging (T1WI), with the hemorrhagic part of the tumor appearing hyperintense; it appeared as a hyperintense signal on T2-weighted imaging (T2WI) with unclear boundaries, measuring 2.0-5.6 cm, causing compression and invasion of the gastric wall; enhanced scanning showed obvious rim enhancement of the tumor capsule, invasion of the splenic artery and vein, and portal vein thrombus formation. The gastroscope results revealed a 4.0 cm×5.0 cm mucosal elevation on the greater curvature of the gastric body, considered to be caused by compression from the pancreatic mass. The clinical diagnosis was a pancreatic space-occupying lesion, highly suspected to be malignant, with surgical resection being the preferred treatment option. The postoperative pathological diagnosis was SMARCB1/INI1-deficient UPC with a small component of moderately differentiated squamous cell carcinoma. The patient received chemotherapy after surgery and has been followed up for 5 months, with an improved quality of life compared to before surgery, no significant discomfort, and remains under close follow-up. SMARCB1/INI1-deficient UPC is relatively rare, with non?specific clinical manifestations, usually progressing rapidly and associated with a poor prognosis; therefore, early diagnosis and treatment should be pursued in clinical practice.

Key words: Pancreatic neoplasm, SMARCB1/INI1 deficiency, Undifferentiated carcinoma, Imaging manifestation, Case report

CLC Number: 

  • R735.9