Journal of Jilin University(Medicine Edition) ›› 2026, Vol. 52 ›› Issue (1): 143-151.doi: 10.13481/j.1671-587X.20260115
• Research in basic medicine • Previous Articles Next Articles
Yunshan DING,Haitao DAI,Min CHEN,Xiaohui HAO,Xiao ZHOU,Nan WU(
)
Received:2025-03-10
Accepted:2025-05-16
Online:2026-01-28
Published:2026-02-24
Contact:
Nan WU
E-mail:195773220@qq.com
CLC Number:
Yunshan DING,Haitao DAI,Min CHEN,Xiaohui HAO,Xiao ZHOU,Nan WU. Effect of silencing TRPV2 gene and cannabidiol on biological behaviors of oral squamous cell carcinoma CAL-27 cells[J].Journal of Jilin University(Medicine Edition), 2026, 52(1): 143-151.
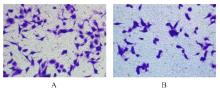
Tab.1
Survival rates of CAL-27 cells in various groups after treated with different doses of CBD for 24, 48, 72, and 96 h"
| Group | Survival rate | |||
|---|---|---|---|---|
| (t/h) 24 | 48 | 72 | 96 | |
| CBD (μmol·L-1) | ||||
| 0 | 100.00±11.84 | 100.00±6.61 | 100.00±7.54 | 100.00±12.08 |
| 10 | 96.98±7.41 | 108.70±17.11 | 118.50±4.76* | 100.80±15.30 |
| 20 | 35.35±1.91* | 17.06±15.87* | 4.36±0.19* | 3.98±0.64* |
| 40 | 16.95±0.94* | 10.29±5.07* | 3.99±1.26* | 2.84±1.65* |
| [1] | SUNG H, FERLAY J, SIEGEL R L, et al. Global cancer statistics 2020: GLOBOCAN estimates of Incidence and mortality worldwide for 36 cancers in 185 countries[J]. CA Cancer J Clin, 2021, 71(3): 209-249. |
| [2] | MCCORD C, KISS A, MAGALHAES M A, et al. Oral squamous cell carcinoma associated with precursor lesions[J]. Cancer Prev Res (Phila), 2021, 14(9): 873-884. |
| [3] | 孙铭泽, 史佳帆, 刘璐璐, 等. 光热联合疗法在OSCC中的研究进展[J]. 临床口腔医学杂志, 2024, 40(10): 635-637. |
| [4] | GUPTA S, SINGH A, DEORAH S, et al. Immunotherapy in OSCC: Current trend and challenges[J]. Crit Rev Oncol Hematol, 2025, 209: 104672. |
| [5] | SHI E Y, SHAN T H, WANG H P, et al. A bacterial nanomedicine combines photodynamic-immunotherapy and chemotherapy for enhanced treatment of oral squamous cell carcinoma[J]. Small, 2023, 19(52): e2304014. |
| [6] | Bharadwaj R, SAHU B P, HALOI J, et al. Combinatorial therapeutic approach for treatment of oral squamous cell carcinoma[J]. Artif Cells Nanomed Biotechnol, 2019, 47(1): 572-585. |
| [7] | DADON D, MINKE B. Cellular functions of transient receptor potential channels [J]. Int J Biochem Cell Biol, 2010, 42(9): 1430-1445. |
| [8] | MISRI S, KAUL K, MISHRA S, et al. Cannabidiol inhibits tumorigenesis in cisplatin-resistant non-small cell lung cancer via TRPV2[J]. Cancers, 2022, 14(5): 1181. |
| [9] | MORELLI M B, NABISSI M, AMANTINI C, et al. The transient receptor potential vanilloid-2 cation channel impairs glioblastoma stem-like cell proliferation and promotes differentiation[J]. Int J Cancer, 2012, 131(7): E1067-E1077. |
| [10] | MARINELLI O, MORELLI M B, ANNIBALI D, et al. The effects of cannabidiol and prognostic role of TRPV2 in human endometrial cancer[J]. Int J Mol Sci, 2020, 21(15): 5409. |
| [11] | KATO S, SHIOZAKI A, KUDOU M, et al. TRPV2 promotes cell migration and invasion in gastric cancer via the transforming growth factor-β signaling pathway[J]. Ann Surg Oncol, 2022, 29(5): 2944-2956. |
| [12] | ZHANG W, HE X, YIN H, et al. Allosteric activation of the metabolic enzyme GPD1 inhibits bladder cancer growth via the lysoPC-PAFR-TRPV2 axis[J]. J Hematol Oncol, 2022, 15(1): 93. |
| [13] | SANTONI G, AMANTINI C, MAGGI F, et al. The TRPV2 cation channels: from urothelial cancer invasiveness to glioblastoma multiforme interactome signature[J]. Lab Investig, 2020, 100(2): 186-198. |
| [14] | 王 亚, 张林杰, 仵 楠, 等. 口腔鳞状细胞癌中TRPV2的表达及其临床病理意义[J]. 实用医学杂志, 2023, 39(15): 1913-1918. |
| [15] | 祖木热提古丽·阿不来提, 陈镭雨, 马琰迪, 等. TRPV4和TGF-β1在口腔鳞状细胞癌中的表达及临床意义[J]. 实用口腔医学杂志, 2022, 38(6): 743-747. |
| [16] | LANDUCCI E, PELLEGRINI-GIAMPIETRO D E, GIANONCELLI A, et al. Cannabidiol preferentially binds TRPV2: a novel mechanism of action[J]. Neural Regen Res, 2022, 17(12): 2693-2694. |
| [17] | MELO E S A, ASEVEDO E A, DUARTE-ALMEIDA J M, et al. Mechanisms of cell death induced by cannabidiol against tumor cells: a review of preclinical studies[J]. Plants, 2025, 14(4): 585. |
| [18] | GHOSH S, SHAH P A, JOHNSON F M. Novel systemic treatment modalities including immunotherapy and molecular targeted therapy for recurrent and metastatic head and neck squamous cell carcinoma[J]. Int J Mol Sci, 2022, 23(14): 7889. |
| [19] | LI Q, LI H X, ZHU R W, et al. TRPV2 calcium channel promotes breast cancer progression potential by activating autophagy[J]. Cancer Cell Int, 2024, 24(1): 324. |
| [20] | SHOJI K F, BAYET E, LEVERRIER-PENNA S, et al. The mechanosensitive TRPV2 calcium channel promotes human melanoma invasiveness and metastatic potential[J]. EMBO Rep, 2023, 24(4): e55069. |
| [21] | HEIDER C G, ITENBERG S A, RAO J J, et al. Mechanisms of cannabidiol (CBD) in cancer treatment: a review [J]. Biology, 2022, 11(6): 817. |
| [22] | LI Y T, SHARMA A, HOFFMANN M J, et al. Discovering single cannabidiol or synergistic antitumor effects of cannabidiol and cytokine-induced killer cells on non-small cell lung cancer cells[J]. Front Immunol, 2024, 15: 1268652. |
| [23] | VIERECKL M J, KRUTSINGER K, APAWU A, et al. Cannabidiol and cannabigerol inhibit cholangiocarcinoma growth in vitro via divergent cell death pathways[J]. Biomolecules, 2022, 12(6): 854. |
| [24] | FENG P, ZHU L X F, JIE J, et al. Cannabidiol inhibits invasion and metastasis in colorectal cancer cells by reversing epithelial-mesenchymal transition through the Wnt/β-catenin signaling pathway[J]. J Cancer Res Clin Oncol, 2023, 149(7): 3587-3598. |
| [25] | HUANG T F, XU T Q, WANG Y F, et al. Cannabidiol inhibits human glioma by induction of lethal mitophagy through activating TRPV4[J]. Autophagy, 2021, 17(11): 3592-3606. |
| [26] | PONGKING T, INTUYOD K, THONGPON P, et al. Cannabidiol suppresses proliferation and induces cell death, autophagy and senescence in human cholangiocarcinoma cells via the PI3K/AKT/mTOR pathway[J]. J Tradit Complement Med, 2024, 14(6): 622-634. |
| [27] | PARK Y J, NA H H, KWON I S, et al. Cannabidiol regulates PPARγ-dependent vesicle formation as well as cell death in A549 human lung cancer cells[J]. Pharmaceuticals (Basel), 2022, 15(7): 836. |
| [1] | Sifan FENG,Yunfeng LI,Jiaying WANG,Fubin MA,Yan WANG. Effects of heme-binding protein 1 gene knockdown on proliferation, migration, and inflammatory response of microglia BV2 and their mechanisms [J]. Journal of Jilin University(Medicine Edition), 2025, 51(6): 1532-1541. |
| [2] | Pingsheng ZHU,Sitang GE,Lugen ZUO,Deli CHEN,Yangyang ZHANG. Effect of miR-325-3p targeting PRELID1 gene in regulation of EMT pathway on invasion and migration of colon cancer cells and their mechanisms [J]. Journal of Jilin University(Medicine Edition), 2025, 51(5): 1185-1193. |
| [3] | Zhongjun SHEN,Yao ZHAO,Mingbo JIA,Liyan ZHAO. Research progress in effects of hypoxia-inducible factors on cell migration and invasion during epithelial-mesenchymal transition in glioma cells [J]. Journal of Jilin University(Medicine Edition), 2025, 51(4): 1145-1154. |
| [4] | Yixuan GAO,Peng WANG,Silong ZHANG,Ruijuan GAO,Yingfang MA,Keke ZHANG,Dan FENG,Zongqi HUANG,Ketao MA,Li LI,Junqiang SI. Inhibitory effect of safranal on proliferation, migration and phenotypic transformation of vascular smooth muscle cells of rats induced by high glucose in vitro [J]. Journal of Jilin University(Medicine Edition), 2025, 51(4): 948-957. |
| [5] | Wenxuan LI,Minru ZONG. Research progress in role of migration of Schwann cells in repairment of peripheral nerve injury [J]. Journal of Jilin University(Medicine Edition), 2025, 51(4): 1137-1144. |
| [6] | Hongli LI,Mengyao WANG,Yangyang LIU,Hui ZHANG,Li LI. Effect of KHSRP on biological behavior of colorectal cancer cells through activation of JAK/STAT signaling pathway [J]. Journal of Jilin University(Medicine Edition), 2025, 51(4): 996-1006. |
| [7] | Yihui WANG,Qing ZHANG,Yingnan LI,Liping YE. Effect of KIAA1522 on proliferation, migration, and invasion of lung cancer cells and its mechanism [J]. Journal of Jilin University(Medicine Edition), 2025, 51(3): 727-739. |
| [8] | Donghui LIU,Yunzhe CI,Chunyan WANG,Wenyi MA. Effect of miR-199a-5p on expression of Caveolin-1, cell migration and apoptosis in glioma U251 cells [J]. Journal of Jilin University(Medicine Edition), 2025, 51(3): 663-671. |
| [9] | Fan WANG,Xin WEN,Yixuan WANG,Yuan WANG. Effect of gap junction β2 on prognosis of patients with lung adenocarcinoma and biological behavior of lung adenocarcinoma A549 cells [J]. Journal of Jilin University(Medicine Edition), 2025, 51(3): 716-726. |
| [10] | Yan WANG,Zouyu ZHAO,Panpan YU,Ping YANG. Expression of I kappa B kinase-interacting protein in cervical cancer tissue and its effect on proliferation, migration and invasion of cervical cancer cells [J]. Journal of Jilin University(Medicine Edition), 2025, 51(2): 341-351. |
| [11] | Shuyan SUN,Huakun ZHANG,Ziru ZHOU,Feng LI,Xiaobin CUI. Expression of CRNN protein in esophageal squamous cell carcinoma tissue and influence of its overexpression in biological behavior of esophageal squamous cell carcinoma Eca9706 cells [J]. Journal of Jilin University(Medicine Edition), 2025, 51(2): 275-283. |
| [12] | Fang ZHAO,Zhenling LI,Lihua PIAO,Longzhe HAN,Yinji CUI,Chunji QUAN,Xuemei JIN. Effect of Yes-associated proteins on biological behaviors of human cervical cancer SiHa cells [J]. Journal of Jilin University(Medicine Edition), 2025, 51(1): 68-75. |
| [13] | Pengli WU,Fengyu LI,Bo LIU,Yang LYU. Effect of silencing DDX39A gene on proliferation, migration and invasion of esophageal cancer TE-1 cells and its mechanism [J]. Journal of Jilin University(Medicine Edition), 2025, 51(1): 115-123. |
| [14] | Lu YANG,Jiacai FU,Fengjin LI,Ling QI. Inhibitory effect of schisandrin on migration and invasion of pancreatic cancer cells and its mechanism [J]. Journal of Jilin University(Medicine Edition), 2025, 51(1): 44-50. |
| [15] | Mengmeng ZHAO,Yalu WANG,Yuxiang XU,Kaige YANG,Yuwen CAO,Wenhu ZHOU,Jing FEI,Wen WANG,Chenghua LUO,Jianming HU. Effects of hydrogen sulfide synthase CBS and CSE on malignant biological behaviour of breast cancer cells [J]. Journal of Jilin University(Medicine Edition), 2025, 51(1): 34-43. |