Journal of Jilin University(Medicine Edition) ›› 2026, Vol. 52 ›› Issue (1): 125-134.doi: 10.13481/j.1671-587X.20260113

• Research in basic medicine • Previous Articles     Next Articles

Therapeutic effect of prunetin on myocardial infarction model mice and its mechanism

Meng CAI,Yang GUO,Yingfang MA,Jinglei CUI,Jia LUO,Lili WEI,Yunhua ZHANG,Yang WANG()   

  1. Key Laboratory of Xinjiang Local and Ethnic High incidence Diseases,Ministry of Education,School of Medicine,Shihezi University,Shihezi 832000,China
  • Received:2025-01-09 Accepted:2025-03-01 Online:2026-01-28 Published:2026-02-24
  • Contact: Yang WANG E-mail:wangyang_shz@foxmail.com

Abstract:

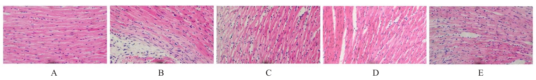
Objective To discuss the therapeutic effect of prunetin on the mice with myocardial infarction (MI), and to clarify the key targets and molecular mechanism of prunetin in the treatment of MI. Method Ten mice were randomly selected from 50 c57 mice as sham operation group; the other 40 mice were used to establish the MI mouse models by ligating the left anterior descending coronary artery. The 40 successfully modeled mice were randomly divided into model group, low dose of prunetin group (5 mg·kg?1 prunetin), high dose of prunetin group (10 mg·kg?1 prunetin), and positive drug group (2 mg·kg?1 enalapril), with 10 mice in each group. The drugs were administered by intraperitoneal injection once daily for 21 consecutive days. Echocardiography was used to detect the cardiac function indexes of the mice in various groups; enzyme-linked immunosorbent assay (ELISA) was used to detect the levels of creatine kinase-MB (CK-MB) and cardiac troponin Ⅰ (cTn-Ⅰ) in serum of the mice in various groups; HE staining was used to observe the patho morphology of myocardium tissue of the mice in various groups; Masson staining was used to observe the fibrosis of myocardium tissue of the mice in various groups; immunohistochemistry and immunofluorescence methods were used to detect the expression of CD31 and the number of new blood vessels in myocardium tissue at the MI border zone of the mice in various groups. The Pubchem database was used to obtain the structural information of prunetin; the SWISS and QSAR databases were used to obtain the targets of prunetin; the The GeneCards Human Gene Database (GeneCards), Gene Web database(Disgene) and Online Mendelian Inheritance in Man (OMIM) database were used to obtain the disease targets of MI; the targets of prunetin and the disease targets were intersected to identify common targets. The String database was used to construct the protein-protein interaction (PPI) network diagram. The top-ranked targets were selected for molecular docking with prunetin to analyze the signaling pathways of prunetin in the treatment of MI. Result The echocardiography results showed that compared with sham operation group, the left ventricular ejection fraction (LVEF) and left ventricular fractional shortening (LVFS) of the mice in model group were significantly decreased (P<0.001); compared with model group, the LVEF and LVFS of the mice in low dose and high doses of prunetin groups and enalapril group were significantly increased (P<0.05). The ELISA results showed that compared with sham operation group, the serum levels of CK-MB and cTn-Ⅰ of the mice in model group were increased (P<0.001); compared with model group, the levels of CK-MB and cTn-Ⅰ in the serum of the mice in low and high doses of prunetin groups and enalapril group were significantly decreased (P<0.01). The HE staining results showed that in model group, the morphology of myocardial cells was altered, the tissue arrangement was disordered with obvious rupture, and inflammatory cell infiltration was increased; in low dose of prunetin group, the degree of myocardial cell necrosis was alleviated; in high dose of prunetin group, the symptoms of myocardial cell swelling, disordered arrangement, and myofibril rupture were significantly relieved. The Masson staining results showed that in model group, myocardial fibrosis was obvious and the anterior ventricular wall was thinned, while in low dose of prunetin group, the myocardial fibrosis area was reduced, significantly inhibiting the development of fibrosis, and in high dose of prunetin group, the myocardial fibrosis area was significantly decreased, and the scar-like changes caused by fibrosis were alleviated. The immunohistochemistry and immunofluorescence results showed that compared with model group, the number of new blood vessels in the MI border zone myocardium tissue of the mice in high dose of prunetin treatment group was increased (P<0.05). The network pharmacology results showed that there were 100 compound targets of prunetin, among which 68 were common targets for prunetin-MI. The key genes related to MI included epidermal growth factor receptor (EGFR), phosphatidylinositol 3-kinase catalytic subunit alpha(PIK3CA), and peroxisome proliferator-activated receptor gamma(PPARG), etc. The molecular docking analysis results showed that prunetin docked well with the key targets EGFR and PIK3CA, and had better affinity with EGFR. Conclusion Prunetin can promote the angiogenesis of capillaries in the infarct border zone of the MI mouse models to alleviate ischemia-hypoxia injury, thereby alleviating cardiac dysfunction in mice after MI.

Key words: Myocardial infarction, Prunetin, Angiogenesis, Network pharmacology, Molecular docking

CLC Number: 

  • R542.22