Journal of Jilin University(Medicine Edition) ›› 2026, Vol. 52 ›› Issue (2): 359-365.doi: 10.13481/j.1671-587X.20260207

• Research in basic medicine • Previous Articles    

Expression levels of miR-328-3p and miR-671-5p in serum exosomes of Kawasaki disease model mice and their significance

Di LI1,Yang SU1,Yong ZHANG2,Jiaoqi WANG3,Xiaofei ZHANG1(),Xuebing ZHAO1   

  1. 1.Department of Pediatrics,China-Japan Union Hospital,Jilin University,Changchun 130033,China
    2.Department of Forensic,School of Basic Medical Science,Jilin University,Changchun 130021,China
    3.Department of Neurology,China-Japan Union Hospital,Jilin University,Changchun 130033,China
  • Received:2025-05-06 Accepted:2025-07-06 Online:2026-03-28 Published:2026-04-15
  • Contact: Xiaofei ZHANG E-mail:xiaofei@jlu.edu.cn

Abstract:

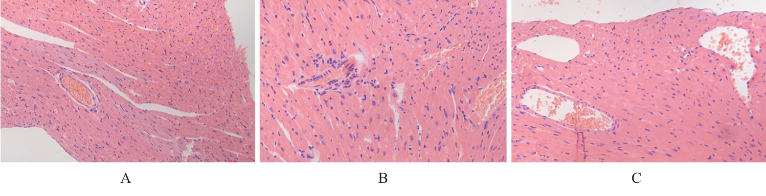
Objective To discuss the correlation between the expression levels of microRNA(miR)-328-3p and miR-671-5p in serum exosomes of the mice with Kawasaki disease and Kawasaki disease as well as their changes after intravenous immunoglobulin (IVIG) treatment, and to provide the potential biomarkers for the early diagnosis and efficacy evaluation of Kawasaki disease. Methods Twelve 4-week-old SPF grade male C57BL/6J mice were randomly divided into control group, model group, and IVIG group, with 4 mice in each group. The mice in model group and IVIG group were intraperitoneally injected with Lactobacillus casei cell wall extract (LCWE) to establish the Kawasaki disease models, while the mice in control group were intraperitoneally injected with equal volume of normal saline; the mice in IVIG group were intraperitoneally injected with IVIG for intervention on the 5th day. Four weeks later, the heart tissue of the mice in various groups was collected, and HE staining was used to observe the pathomorphology of the heart tissue of the mice in various groups; the blood of the mice in various groups was collected and the exosomes were isolated. Particle size detection, transmission electron microscopy, and Western blotting method were used to identify the exosomes. Real-time fluorescence quantitative PCR (RT-qPCR) method was used to detect the expression levels of miR-328-3pmiR-134-5p, and miR-671-5p in the serum exosomes of the mice in various groups. Results The HE staining results showed that in control group, the myocardial structure of the mice was regular, and there was no inflammatory cell infiltration in the coronary arteries; in model group, diffuse inflammatory cell infiltration was observed in the local coronary arteries of the mice; compared with model group, the inflammatory cell infiltration in the myocardium tissue of the mice in IVIG group was significantly reduced. The exosome identification results showed that spherical or oval vesicles with a diameter of 30-150 nm were observed under transmission electron microscope, the main peak of particle size was within 150 nm, and the exosome markers CD9 and CD63 were positively expressed. The RT-qPCR results showed that compared with control group, the expression level of miR-328-3p in the serum exosomes of the mice in model group was significantly increased (P<0.05), and the expression level of miR-671-5p was significantly decreased (P<0.05); compared with model group, the expression level of miR-328-3p in the serum exosomes of the mice in IVIG group was significantly decreased (P<0.05), and the expression level of miR-671-5p was significantly increased (P<0.01); there was no statistically significant difference in the expression level of miR-134-5p in the serum exosomes of the mice among the three groups (P>0.05). Conclusion The up-regulation of miR-328-3p expression and the down-regulation of miR-671-5p expression are both associated with Kawasaki disease, and this abnormal expression can be reversed after IVIG treatment, suggesting that both of them may serve as the potential molecular biomarkers for the diagnosis and efficacy evaluation of Kawasaki disease.

Key words: Kawasaki disease, Exosomes, Biomarker, MicroRNA-328-3p, MicroRNA-671-5p, Intravenous immunoglobulin

CLC Number: 

  • R725.4