Journal of Jilin University(Medicine Edition) ›› 2026, Vol. 52 ›› Issue (2): 330-339.doi: 10.13481/j.1671-587X.20260204

• Research in basic medicine • Previous Articles    

Improvement effect of fingolimod on hepatic fibrosis in type 2 diabetes mellitus mice and its mechanism

Shu LI1,2,Jiaqi GUO3,Wansong LI4,Yanfeng ZHEN2,Hongjia ZHAI4,Jie LI4,Hui FANG2()   

  1. 1.Department of Internal Medicine,School of Clinical Medicine,North China University of Science and Technology,Tangshan 063000,China
    2.Department of Endocrinology,Tangshan Workers’ Hospital,Tangshan 063000,China
    3.Department of Critical Care Medicine,Central Hospital,Longhua District,Guangdong Province,Shenzhen 518000,China
    4.Department of Internal Medicine,School of Clinical Medicine,Hebei Medical University,Shijiazhuang 050000,China
  • Received:2025-05-14 Accepted:2025-07-06 Online:2026-03-28 Published:2026-04-15
  • Contact: Hui FANG E-mail:fanghui2818@126.com

Abstract:

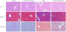
Objective To discuss the improvement effect of fingolimod on liver fibrosis in the mice with type 2 diabetes mellitus (T2DM), and to clarify its mechanism. Methods Sixty male C57BL/6J mice were randomly divided into control group, control+fingolimod group, model group, and model+fingolimod group, with 15 mice in each group. The T2DM model was induced by high-fat diet combined with low dose of streptozotocin (STZ) intraperitoneal injection. After the model was established, the mice in model+fingolimod group and control+fingolimod group were given daily intraperitoneal injection of fingolimod (1.0 mg·kg-1) for 8 weeks. The liver coefficients and fasting blood glucose (FBG) levels of the mice in various groups were detected. The kits were used to detect the activities of alanine aminotransferase (ALT) and aspartate aminotransferase (AST), and the levels of triglyceride (TG), total cholesterol (TC), high-density lipoprotein cholesterol (HDL-C), and low-density lipoprotein cholesterol (LDL-C) in serum of the mice in various groups; HE staining was used to observe the pathomorphology of liver tissue of the mice in various groups; Masson staining was used to observe the morphology of liver fibrosis of the mice in various groups; Oil red O staining was used to detect the lipid deposition in liver tissue of the mice in various groups; real-time fluorescence quantitative PCR(RT-qPCR) method was used to detect the expression levels of α-smooth muscle actin (α-SMA) and Janus kinase (JAK)/signal transducer and activator of transcription (STAT) pathway-related molecules JAK1JAK2STAT1STAT3, interferon-γ (IFN-γ), and interleukin-6 (IL-6) mRNA in liver tissue of the mice in various groups; Western blotting method was used to detect the expression levels of α-SMA, IFN-γ, IL-6,STAT1, phosphorylated STAT1 (p-STAT1), STAT3, phosphorylated STAT3(p-STAT3), JAK1, phosphorylated JAK1(p-JAK1), JAK2 and phosphorylated JAK2(p-JAK2) proteins in liver tissue of the mice in various groups. Results Compared with control group, the liver coefficient and FBG level of the mice in model group were significantly increased (P<0.001); the hepatocytes were swollen, the hepatic sinusoids were narrowed, a large number of lipid droplets and obvious collagen accumulation in liver tissue were observed, and the CVF and lipid droplet area proportion of liver tissue were significantly increased (P<0.001); the activities of ALT and AST and the levels of TC, TG, and LDL-C in serum were significantly increased (P<0.001), while the level of HDL-C was significantly decreased (P<0.001); the expression levels of IL-6 and α-SMA mRNA and protein in liver tissue were significantly increased (P<0.001), the expression levels of IFN-γ mRNA and protein were significantly decreased (P<0.001), the ratios of p-STAT3/STAT3, p-JAK1/JAK1, and p-JAK2/JAK2 were significantly increased (P<0.001), and the ratio of p-STAT1/STAT1 was significantly decreased (P<0.001). Compared with model group, the liver coefficient and FBG level of the mice in model+fingolimod group were significantly decreased (P<0.01); the hepatocyte steatosis, lipid droplets, and fibrosis degree were alleviated, and the CVF and lipid droplet area proportion of liver tissue were significantly decreased (P<0.001); the activities of ALT and AST and the levels of TC, TG, and LDL-C in serum were significantly decreased (P<0.001), while the level of HDL-C was significantly increased (P<0.001); the expression levels of IL-6 and α-SMA mRNA and protein in liver tissue were significantly decreased (P<0.001), the expression levels of IFN-γ mRNA and protein were significantly increased (P<0.001), the ratios of p-STAT3/STAT3, p-JAK1/JAK1, and p-JAK2/JAK2 were significantly decreased (P<0.001), and the ratio of p-STAT1/STAT1 was significantly increased (P<0.001). Conclusion Fingolimod can improve glucose and lipid metabolism disorders, liver function injury, and lipid deposition in liver tissue of T2DM mice, and alleviate liver fibrosis. Its mechanism may be related to up-regulating the expressions of IFN-γ and p-STAT1 and down-regulating the expressions of IL-6 and p-STAT3.

Key words: Fingolimod, Type 2 diabetes mellitus, Metabolism-associated fatty liver disease, Liver fibrosis, Metabolic disorder

CLC Number: 

  • R587.2